正中ラインのズレ
上下の中心がずれている様子の画像です。これを正中線のずれといいます。
上の八重歯が長い間気になっており、また下の歯のガタガタも気になっているとのことで、当院に来院されました。
本ケースでは、抜歯ありのマウスピース型矯正装置(インビザライン)にて矯正を行いました。
患者様が悩まれている通り、上の歯を見ると、写真の右側の歯(上顎左3番)が八重歯のように変な方向から生えています。下の歯も綺麗に生え揃っておらず、ガタガタしていました。
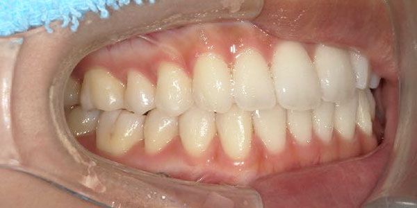
上の歯です。八重歯が他の歯と重なってしまっています。
下の歯の並びもガタガタです。
側面から見た様子です。
こちらも側面の写真です。
正面、上下、左右などの5つの方向から歯並びを確認しましたが、やはり一番気になるのは上の歯の八重歯です。どの角度から見ても一際目立ちます。
抜歯をしないと歯が綺麗に並ばないこと、口元が出てしまうことをお話ししました。
またワイヤー矯正だと抜歯する本数が多くなるため、マウスピース型矯正装置(インビザライン)で、片側上下顎抜歯をご提案させていただきました。(上1本、下1本抜歯)
今回のケースで、片側のみ抜歯してワイヤー矯正をすると正中ラインがずれてしまうことが多く、上下顎の正中を可能な限り合わせるためマウピース矯正をご提案させていただきました。

上下の中心がずれている様子の画像です。これを正中線のずれといいます。
セファロレントゲン・パントモ撮影などを行い歯全体や顎の関節などの様子を確認します。必要に応じてCTも撮影します。
それらの精密検査の資料を元に、骨格・歯の状態を説明し、どのような治療手段を選択するかご説明します。
口の中が汚れていると、矯正治療中に虫歯になったり、矯正装置が外れやすくなったりするため、矯正治療に入る前にお口のクリーニングを行います。
マウスピース(アライナー)を作製し、定期的に新しいマウスピースに交換し、歯並びを整えていきます。
本ケースでは合計89枚のマウスピースを作製しました。
今回は、マウスピースをセットする前に抜歯を行っています。
治療終了後は綺麗になった歯並びを維持するため、保定期間に入ります。保定ではリテーナーと呼ばれる保定装置を装着します。
メンテナンスでは、保定状況やお口のクリーニングなどを行いますので、定期的に通院していただきます。
治療前後の歯並びを5つの異なる角度から比較してみると、どの程度改善されたかがよく分かります。
| 年齢・性別 | 30代・女性 |
|---|---|
| 治療期間・回数 | 23ヶ月・10回 |
| 治療費 | 84万円+税 |
| マウスピースの枚数 | 63枚(1回目)、20枚(2回目)、6枚(3回目) |
| リスク・副作用 | 歯根吸収、カリエスリスク |
抜歯は2本しましたが、噛み合わせと仕上がりに患者様は非常に満足していただけました。
抜歯した場合は治療期間もかかりますが、今回は治療期間もワイヤーに比べて短縮できました。
また口元もわずかに内側に入れることで、口元のラインも綺麗になりました。
「⻭並びを治したい、
でもいきなり治療に⼊るのは怖い」
そんな方へ当院では矯正カウンセリングを承っております。
ご予約・お問合せはこちら
ネットで24時間受付中!