こちらの写真のように、白色のワイヤー線を使用した目立たない表側の矯正治療のことです。
通常は銀色の金属(メタル)を使用するため、どうしても目立ってしまいますが、当院ではオプションでホワイトワイヤーをご選択していただけます。
下の歯だけ部分矯正したい
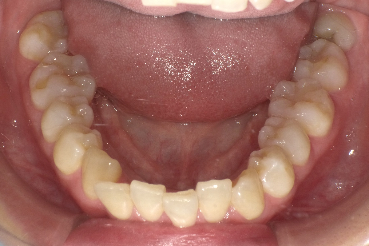
治療前の様子
下の歯並び
下の前歯がガタガタして、歯並びが整っていないのが分かります。これが患者様の一番のお悩みでした。
小学生の頃、ワイヤー矯正していたが、徐々に後戻りしてしまい、今のようなガタガタした歯並びになったそうです。
可能であれば、部分矯正の表側ホワイトワイヤーか、マウスピースで治したいとご希望でした。
ホワイトワイヤーとは?

当院からの提案
患者様の当初のご希望では、可能であれば目立たないワイヤーを使用した「表側の部分矯正」でした。
しかし、以前ワイヤー矯正をしていたそうですが、後戻りしてしまったとのことで、ワイヤー矯正に決めても良いのかどうか、悩んでおられました。
しかし、後戻り防止用のリテーナーという装置も欠かさず装着し、定期的にチェックやメンテナンスに通っていただければ、後戻りの心配は少ないとお話ししたところ、最終的にホワイトワイヤーでの表側矯正に決定されました。
当院にてカウンセリング・検査後、装置は前歯6本と奥歯2本の計8本装着、と診断させていただき、表側ホワイトワイヤーでの治療をお話ししました。
下記は治療上での必要事項になります
- ディスキング(歯と歯の間を影響ない程度に削ること)の必要性
ご納得していただき、治療を開始しました。
治療前後の比較
治療前後の5つの角度からの口腔内写真です。
正面から見た写真
正面は治療前後にあまり変わりはありません。
口を開いた際の上の歯
上の歯もそこまで変わりません。
下の歯
下の歯は大きく変化しました。歯並びのガタガタが綺麗に改善されています。
側面から見た写真
側面は大きな変化はないものの、よく見るときれいに歯が整列しているのが分かります。
こちらも側面からも見た様子
逆側の側面も同様です。
本ケースのまとめ
| 年齢・性別 | 20代・女性 |
|---|---|
| 治療期間・回数 | 6ヶ月・6回 |
| 治療費 | 24万円+税 |
| リスク・副作用 | 歯根吸収、カリエスリスク |
治療後の様子
担当矯正医の所感
今回の治療では健康な歯は抜歯していません。(親知らずは抜歯しています)
ご希望だった目立たない装置で短期間で治療を終えられたためご満足いただけました。
しっかりと定期的なチェックに通っていただけたお陰です。
矯正カウンセリング実施中
「⻭並びを治したい、
でもいきなり治療に⼊るのは怖い」
そんな方へ当院では矯正カウンセリングを承っております。
- 気になる箇所だけ治したい
- 矯正治療の種類が知りたい
- 予算は?
-
ご予約・お問合せはこちら
-
ネットで24時間受付中!
