歯列弓が
歪に曲がっている

歯列弓というアーチ状の歯の並びが歪(いびつ)な形状をしており、決して歯並びが良いとは言えない状態でした。また患者さんご自身は、すきっ歯や上の前歯の出っ歯が気になっていました。

治療前の様子

治療前の歯

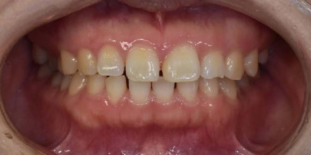
正面から見た歯並び

こちらの写真を見てわかる通り、すきっ歯(前歯の隙間が空いている状態)になっており、患者様はこれに長年悩まれていました。

別の角度から見てみると

上の歯です。歯列弓(赤色の曲線)が歪になっています。
正常な歯並びの場合、赤色の曲線状に歯が並びます。

下の歯も、上の歯同様に歯列弓が曲がっています。

側面の様子です。上の歯がやや出っ歯なのが分かります。

こちらも側面から見た写真です。上の前歯が出ています。

いろんな角度から歯を見ると

めちゃくちゃ悪い歯並び、というわけではありませんが、患者さん自身がすきっ歯や出っ歯気味なのが気になっていました。

当院からの提案

当院からの提案

抜歯して口元を大幅に下げる(前に突出している口元を引っ込める)という治療プランもありましたが、非抜歯でも綺麗に並ぶと判断できる症例だったので、患者様と相談の上、抜歯せずに行うことになりました。

治療の流れ

  1. 診査・診断

    セファロレントゲン・パントモ撮影、必要に応じてCT撮影を行い、歯全体や顎の関節などの様子を確認します。
    それらの精密検査の資料を元に、骨格・歯の状態を説明し、どのような治療手段を選択するかご説明します。

    診査・診断
  2. 歯のクリーニング

    口の中が汚れていると、矯正治療中に虫歯になったり、矯正装置が外れやすくなったりするため、矯正治療に入る前にお口のクリーニングを行います。

    歯のクリーニング
  3. クリンチェック

    患者様の口腔内をスキャンして歯の3Dモデルを作成し、歯がどのように動いていくかコンピュータ上で予測(シミュレーション)します。

    クリンチェック
  4. マウスピース型矯正装置(インビザライン)

    マウスピース(アライナー)を作製し、定期的に新しいマウスピースに交換し、歯並びを整えていきます。

    マウスピース矯正
  5. メンテナンス

    治療終了後は綺麗になった歯並びを維持するため、保定期間に入ります。保定ではリテーナーと呼ばれる保定装置を装着します。

    メンテナンスでは、保定状況やお口のクリーニングなどを行いますので、定期的に通院していただきます。

    メンテナンス

治療前後の比較

治療前後の5つの角度からの口腔内写真です。

正面から見た写真

別人かのように、隙間がなくなりました。

口を開いた際の上の歯

出っ歯の前歯2本が引っ込みました。また、歯列弓も綺麗なU字になりました。

下の歯

上の歯同様、綺麗な歯列弓になりました。

側面から見た写真

出っ歯の引っ込み具合とすきっ歯の改善度合いがよく分かります。

こちらも側面からも見た様子

逆側の側面でも同様に改善度合いが分かります。

本ケースのまとめ

年齢・性別30代・女性
治療期間・回数21ヶ月・8回
治療費79万円+税
マウスピースの枚数60枚(1回目)、22枚(2回目)
リスク・副作用歯根吸収、カリエスリスク

担当矯正医の所感

抜歯せずに綺麗な歯並びになりました。
顎間ゴムも同時にしっかり行いましたので、奥歯を遠心移動できました(遠心移動とは、歯を並べるスペースが足りないときに行われる手法です)。
前歯を内側へ入れたため、噛み合わせはもちろん口元も綺麗になりました。

矯正カウンセリング実施中

「⻭並びを治したい、
でもいきなり治療に⼊るのは怖い」
そんな方へ当院では矯正カウンセリングを承っております。

  • 気になる箇所だけ治したい
  • 矯正治療の種類が知りたい
  • 予算は?